안녕하세요! 오늘은 임플란트 관련 피드를 올려볼까 합니다.
지난번에 한번 임플란트에 관한 피드를 올리기는 했었지만 임플란트에 관한 방법들이 워낙 다양합니다.
오늘은 그중 하나인 당일발치 후 임플란트 식립에 대해 알아보도록 할게요.
임플란트란 상실된 치아 자리에 인공 뿌리를 뼛 속에 심고 일정기간 기다렸다가 인공 치아까지 만드는 과정입니다.

일반적으로 임플란트는 발치 후 어느정도 자가골 즉 자신의 뼈가 생성되길 기다렸다가(대략 3-4개월) 인공뿌리 식립 후 인공뿌리와 내 뼈가 단단하게 붙을 때까지 다시 기다렸다가(평균 2.5-4개월) 우리 눈에 보이는 부분이 자 저작기능을 할 수 있는 인공치아가 올라가게 됩니다. 개인차가 많이 있을 수는 있지만 대략적으로 총 6개월 정도 기간이 소요됩니다.
이렇게 오래 걸리는 기간을 줄이고자 발치 후 자가골이 생성될 때까지 기다리는 기간을 생략하면서 발치 후 바로 임플란트를 식립하는 경우가 있습니다. 광고에서 원데이 임플란트라고 많이 들어보셨을 거예요. 발치 후 바로 식립 하는 경우 가능하면 당일 인공치아를 임시로 제작해 주는 경우도 있을 수 있습니다.
하지만 모든 경우에 당일발치 후 임플란트를 식립할 수는 없습니다. 그렇다면 어떤 경우에 가능한지 알아보도록 할게요.
일단 처음으로 돌아가서 발치 후 왜 기다렸다가 식립하는지 다시 한번 생각해 볼게요.

사진에서 볼 수 있듯이 보통 치주질환으로 인한 발치는 염증이 심해서 치아를 잡아주고 있는 잇몸뼈를 없어지게 만듭니다.
잇몸뼈를 없어지게 하는 주 요인인 해당치아를 발치하면서 염증조직을 깨끗하게 긁어내고 소실된 잇몸뼈가 어느 정도 다시 생길 수 있는 시간을 3개월 정도 기다립니다. 따라서 이렇게 잇몸뼈가 많이 없거나 염증이 x-ray상에 나타날 정도로 많은 경우 발치 후 바로 식립 하는 건 감염에 의해 임플란트를 실패할 확률이 많아져요. 때문에 이런 경우에는 발치 후 바로 임플란트를 식립하는건 권유드리지 않습니다.
발치 후 즉시식립이 가능하려면 일단 잇몸뼈가 소실되지 않은 상태여야 합니다.
예를 들어 치주질환 때문에 발치하는 것이 아닌 충치가 너무 심해서 살릴 수 없는 치아 자체의 문제일 경우에는 치조골 손실이 거의 없기 때문에 치아를 발치 후 즉시 식립하는 것이 가능합니다.


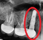
위 사진의 경우 사랑니 때문에 충치가 너무 심해져서 치아를 더 이상 살릴 수 없는 경우이고 발치가 필요한 상황입니다.
하지만 잇몸 뼈 자체는 다른 부분이랑 비슷하게 잘 유지되고 있기 때문에 사랑니와 충치가 심한 치아 함께 발치 후 바로 임플란트를 식립 할 수 있습니다.
어금니의 경우는 남아있는 잇몸뼈의 여부, 염증의 크기 등을 많이 고려해서 발치 후 즉시식립 여부가 결정되지만 앞니는 예외적으로 대부분 발치 후 즉시식립을 하는 경우가 많습니다.
앞니는 어금니와는 다르게 심미적인 부분도 매우 중요하죠. 그리고 발치 후 기다리면서 잇몸뼈의 폭이 얇아 짐에 따라 추후 임플란트 식립에 불리할 수 있기 때문에 거의 대부분은 기다리지 않고 바로 식립 하는 경우가 많습니다.
발치 후 즉시 식립할 수 있는 확률이 높은 경우를 요약해서 설명드리자면
1. 염증이 크지 않은 경우
2. 잇몸뼈의 소실이 없는 경우
3. 앞니 쪽 치아를 발치해야 하는 상황일 경우
입니다.
이렇게 발치 후 즉시식립이 어떤 경우에 가능한지, 불가능하다면 왜 그런지 이유에 대해 알아보았습니다!
치과치료의 경우 사람마다, 부위마다, 증상에 따라 변수가 많기 때문에 가장 중요한 건 직접 치과에 내원하셔서 x-ray촬영 후 진단받아보시는 걸 권유드립니다. 다음에도 유익한 정보로 다시 만나요!
'치과치료관련 꿀팁!' 카테고리의 다른 글
| 치아보험 가입 조건 꼼꼼하게 알아보기! (0) | 2023.07.31 |
|---|---|
| 사랑니 발치 후 주의사항 (0) | 2023.05.02 |
| 사랑니 그것이 알고싶다! (0) | 2023.04.24 |
| 임플란트를 꼭 해야하는 이유! (0) | 2023.04.17 |
| 임플란트가 뭐에요? (0) | 2023.04.11 |
댓글