사춘기의 시작 혹은 성인이 되었다는 상징적인 단어들이 참 많죠? 대표적인 단어가 사랑니인 거 같아요.
그렇다면 이렇게 상징적인 사랑니 말고 실제로 사랑니란 무엇일까요?
진짜 사랑을 할 때 아픈 거? 꼭 빼야 하는 거? 친구가 사랑니 빼고 멍도 들고 사탕문것처엄 엄청 부었던데 등등..
상징적인 느낌과는 많이 다르죠??
오늘포스팅은 실제 사랑니에 대해 다루려고 합니다!! 그럼 사랑니에 대해 알아볼게요!

사랑니가 뭐예요?
사랑니는 우리 입안에 가장 끝에 있는 세 번째 큰 어금니입니다. 정식명칭은 제3대 구치입니다.
이렇게 정식명칭이 있는데 왜 사랑니라고 할까요?
어릴 때 처음 나는 유치가 빠지고 영구치로 바뀌는 과정은 모두들 아실 거예요. 사랑니를 제외한 28개의 영구치는 만 12세를 전후로 완성이 됩니다. 그리고 사춘기라고 하는 시기를 지나서 이 사랑니라고 하는 제3대구치가 맹출하게 되는데요, 아마 이 시기가 사랑을 알게되는 시기,사랑때문에 아픔을 느낄 수 있는 시기이기도 하고 실제로 사랑니가 맹출될때 잇몸이 부어서 아프기도 합니다. 이런 과정들 때문에 사랑니 라고 부르기 시작하지 않았을까요? 실제로 영어로는 wisdom tooth라고 합니다. 비슷한 의미를 갖고 있는 것 같네요.
모든 사람들이 사랑니가 있나요? 사랑니를 꼭 빼야 하나요?
사랑니는 사람들마다 개수도 다르고 위치하고 있는 형태도 다릅니다. 1개만 있는 경우도 있고 이 한 개가 위에 한개 또는 아래 한개 있을 수도 있고 많으면 과잉치로 4개 이상 갖고 계시는 분들도 있습니다.

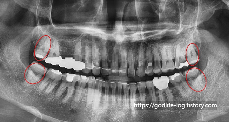
위 사진처럼 오른쪽, 왼쪽, 위, 아래 사랑니 4개 모두 일반적인 어금니와 같은 모습으로 똑바로 맹출 되어있는 경우엔 관리만 잘 된다면 크게 주변치아에 문제를 일으키지는 않습니다.


위 사진과 같이 주로 아래쪽에 있는 사랑니는 수평으로 매복되어 있는 경우가 많습니다. x-ray사진상으로는 치아가 잘 보이지만 실제 구강 내에서는 사랑니의 일부분만 보입니다. 맨 끝에 있는 어금니와 사랑니 사이에 음식물이 끼면 음식물이 잘 안 빠지고 그것 때문에 잇몸에 염증이 생기면서 잇몸이 붓고 피가 나고 정말 심한 경우에는 입을벌리기 힘든경우까지 생길 수 있습니다. 또 이런게 반복되면서 사랑니가 아닌 제2대구치라고 불리는 어금니에 영향을 주게됩니다. 위 사진과같이 충치가 심하게 생길수도있고 염증이 생기면서 사랑니와 어금니 사이에 있는 잇몸뼈를 소실되게 할수도 있습니다.이렇게 문제가 생기는 경우엔 사랑니를 발치가 필요합니다. 사랑니때문에 한번 염증이 생기면 계속 염증이 생기고, 앞치아에 안좋은 영향을 줄 수 있습니다.
위 사진은 충치가 있어서 사랑니 발치 후 신경치료를 하고 치아를 씌워서 살린 경우이지만 충치가 너무 심한경우에는 어금니까지 발치를 할 수도 있습니다.

위 사진 또한 사랑니 때문에 어금니에 충치가 생긴 모습인데요, 분홍색 선으로 표시해 놓은 곳이 실제 우리 눈에 보이는 잇몸 부분이고 아래쪽으로는 잇몸에 덮여있어서 보이지 않는 곳입니다. 충치가 잇몸 안쪽에 안 보이는 부분까지 깊이 생겨서 이런 경우에는 사랑니를 발치한다고 해도 어금니를 충치치료해서 살리기가 어렵습니다

결국에는 이렇게 발치 후 임플란트를 해야 하는 경우까지 생길 수 있습니다.
그래서 주변치아를 위해 관리가 어려운 매복되어 있는 사랑니는 20대 혹은 30대 초반에 예방적으로 미리 발치를 권유드립니다.
사랑니 발치할 때 신경손상 가능성이 있다던데...?
사랑니 발치를 하러 갔을 때 주의사항을 설명 듣게 되는데 이때 신경손상가능성이라는 말을 듣게 되실 거예요.
갑자기 너무 무서워지죠?

사람의 아래턱에는 아랫입술까지 이어지는 커다란 신경관이 하나 지나가는데요, 바로 사진에서 빨간색으로 표시해 놓은 부분입니다. 아무래도 사랑니를 발치하는 과정에서 신경관이 가까울 경우 신경을 건드릴 수 있는데 이런 경우에 신경관에 손상이 올 수 있습니다. 증상은 마취가 풀릴 시간이 지났음에도 불구하고 계속 얼얼한 느낌, 저린 느낌이 남아있습니다.
보통은 6개월에서 1년 사이에 감각이 돌아오긴 하지만 아주 드문 경우에 손상된 감각이 돌아오지 않는 경우도 있습니다.
이렇게 신경관과 사랑니가 겹쳐 보이는 경우에는 일반적으로 치과에서 찍는 파노라마라는 엑스레이 이외에 추가적으로 ct촬영이 필요할 수 있습니다

ct를 촬영하면 입체적으로 신경관과 사랑니 뿌리의 거리를 자세히 알 수 있습니다.
신경손상가능성이 크거나 신경관과 너무 가까울 경우에는 치과대학병원에 내원하셔서 상담을 받아보시는 게 좋습니다.
이러한 매복사랑니 발치는 과거에는 주로 치과대학병원에서 발치를 했었는데 최근에는 로컬에도 사랑니발치전문병원도 많이 생기고, 매복사랑니 발치가 가능한 구강악안면외과 전문의들도 많기 때문에 대학병원까지 가지 않아도 됩니다.
하지만 중요한 건 모든 치과의사가 매복사랑니 발치가 가능하지는 않기 때문에 사랑니 발치 때문에 치과에 내원하시게 된다면 미리 구강악안면외과 전문의인지 매복사랑니 발치가 가능한지 알아보고 가시는 게 좋습니다. 하지만 매복사랑니 발치가 가능한 일반 치과병원이라도 아까 말씀드렸듯이 사랑니가 너무 깊이 있거나 신경관과 가까울 경우는 대학병원에 다시 가셔야 할 수도 있으니 꼭 알고 계세요!
오늘은 사랑니에 대해 알아보았습니다. 많은 도움이 되셨길 바라면서 다음에도 유익한 포스팅으로 만나요!!
'치과치료관련 꿀팁!' 카테고리의 다른 글
| 당일발치 후 임플란트식립이란? (0) | 2023.05.30 |
|---|---|
| 사랑니 발치 후 주의사항 (0) | 2023.05.02 |
| 임플란트를 꼭 해야하는 이유! (0) | 2023.04.17 |
| 임플란트가 뭐에요? (0) | 2023.04.11 |
| 잇몸치료가 뭐에요? (0) | 2023.04.04 |
댓글