지난번 포스팅까지는 치아 그 자체의 문제라고 할 수 있는 충치와 충치치료에 대해서 알아보았습니다.
하지만 치과에 가면 잇몸치료라는 말도 어렵지 않게 들으실 수 있으실 텐데요, 오늘은 그 잇몸치료가 무엇인지, 왜 필요한지에 대해 알아보도록 할게요.
여러분 이 치과에 가실 때 단순 검진을 받으러 가기도 하지만 불편한 부분이 있어서 가는 경우가 많으실 거예요.
먼저 구강 내에서 불편감이 생기는 이유에 대해 알아볼게요.
구강 내에는 여러 가지 원인으로 인해 문제가 생길 수 있는데 우리가 오늘 알아야 할 것은 두 가지입니다.
먼저 치아 자체의 문제입니다.

우선 치아가 어떻게 존재하고 있는지를 더 잘 이해하기 위해 치아 단면도를 볼게요.
생각보다 복잡한 구조를 갖고 있고, 그저 혼자 뼈에 단단히 박혀있는 게 아닌 여러 가지 치아 주변조직들에 의해 기능을 하고 있습니다. 치아 자체의 문제는 법랑질, 상아직, 치수에 문제가 생기는 것을 의미합니다. 주로 충치, 치수염, 마모 등이 있습니다. 그리고 나머지 조직인 잇몸, 치주인대, 치조골에서 생기는 문제를 치아 주위조직의 질병으로 분류가 됩니다.
흔히 잇몸병이라고 불리고 있습니다.
이렇게 치아 주위조직에 문제가 생기게 되면 어떻게 될까요?
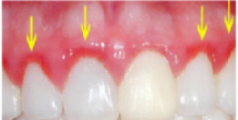
주로 잇몸병은 초기에는 일시적으로 양치할 때 잇몸이 붓고 피가 나는 증상이 나타납니다. 또 음식을 씹을 때 치아가 아파요 하고 병원을 찾으시는 분들도 계시는데, 잇몸이 부어도 식사할 때 치아가 아픈 것처럼 느껴질 수 있습니다. 치경부에 한해서 생긴 초기 잇몸병, 즉 치은염이라고 하는데요, 주로 양치가 잘 안돼서 많이 나타나고 때로는 피로함, 호르몬에 의해 나타날 수도 있습니다. 주로 치아와 잇몸 경계부가 붓고 피가 나게 됩니다.
치은염은 스케일링받고 평소에도 치실이나 치간칫솔로 구강 내 환경을 깨끗하게 유지시켜 주면 금방 나을 수 있습니다.

하지만 더 나아가 우리 치아를 지탱해 주는 치조골 자체를 파괴하는 치주염은 큰 문제가 될 수 있습니다.
치경부에만 존재하던 잇몸병을 방치하게 되면 염증이 치근부까지 번지게 되면서 나중에는 치조골을 파괴하게 됩니다.
치아를 지탱해 주는 치조골이 없어지면 우리 눈에 보이는 잇몸과 치아 사이에는 커다란 빈 틈이 생기게 되겠죠?
그렇게 되면 그 틈으로 음식물 잔사가 잘 쌓일 수밖에 없고, 미세한 틈이기 때문에 관리가 힘들어집니다.
그러면서 파괴되는 치조골의 양이 점점 더 많아질 수 밖에 없어요.
이러한 치주병의 원인은 주로 치석입니다.
치석은 치아 표면에 남아있는 플라그와 침의 성분인 칼슘, 인 등의 성분과 만나게 되면서 생기게 됩니다.
치석을 현미경으로 확대해서 보면 치석의 표면은 매우 큰 구멍들이 많습니다. 한마디로 매끄럽지 않다는 뜻이죠.
이렇게 치아 표면에 거칠거칠한 치석이 생기면 음식물 잔사가 더 잘 쌓이게 됩니다.
치석이 치아 표면에만 생기게 되면 치은염이 생기게 되고 이는 스케일링을 통해 제거를 할 수 있습니다.
나는 평소에 칫솔질을 엄청 잘하고 치실도 잘 쓰니까 스케일링을 안 해도 된다고 생각하시는 분들 분명히 계십니다!
저 또한 꼼꼼히 관리한다고 자부하는 편인데, 생각보다 구강 내에는 우리 손이 닿을 수 없는 사각지대들이 존재하기 때문에 1년에 한 번 정도는 스케일링을 받으시는게 좋습니다. 이 스켈링 또한 잇몸치료의 범주에 속합니다.
치석이 치아 표면에만 생기면 스케일링받고 괜찮아지는데 문제는 치석이 치근부까지 생기는 것입니다.
처음부터 치근부에 치석이 생기지는 않고 잇몸병이 생기는 걸 방치하게 되면서 잇몸뼈가 파괴되고 그 틈으로 또 치석이 생기게 되는 악순환이 반복됩니다. 악순환이 반복되고 치조골 파괴가 심해지면 당연히 치아는 흔들릴 수밖에 없습니다. 이것을 우리가 흔히 알고 있는 풍치 라고 합니다.
이렇게 잇몸 하방 쪽으로 우리 눈에 보이지 않는 곳까지 치석이 생기게 되면 스케일링만으로는 치석제거가 어렵습니다. 그렇다고 하방까지 생긴 치석을 그대로 두면 안 되겠죠?
이럴 때 환자분들께 설명드리는 것이 잇몸치료입니다!
치석 제거하는 기구를 잇몸 하방으로 넣어서 치석을 제거하는 과정입니다.
주로 치주염이 꽤 진행된 분들이 하게 되고, 기구가 잇몸 하방으로 들어가는 과정 자체가 아플 수 있기 때문에 국소마취를 하고 진행하게 됩니다. 필요한 부위에만 하실 수도 있고, 전체적으로 3-6번에 나눠서 치료를 하실수도 있어요.
잇몸치료는 치아를 삭제하거나 해를 가하는 부분이 없기도 하고, 스케일링과 잇몸치료는 의료보험적용이 되는 진료이기 때문에 권유받으셨을 때 꼭 하시는 게 좋습니다.
치조골이 파괴되면 어떻게 돼요?
치조골이 파괴가 되면 치아를 지탱해 줄 수 있는 단단한 부분이 없어지게 됩니다.
쉽게 설명드리자면 단단한 시멘트 바닥에 건물이 있는데 그 건물을 지탱하고 있는 바닥에 균열이 생기고 점점 없어지면 건물은 결국 무너지겠죠? 치아도 마찬가지입니다. 더 이상 치아를 지탱할 수 없을 때엔 발치를 하게 됩니다.
그렇다면 잇몸치료를 받으면 파괴된 치조골이 다시 생길까요?
그건 아닙니다. 이미 한번 파괴된 치조골은 다시 생기지 않습니다. 그저 치과에 다른 사람들보다 좀 더 자주 방문하여 내 잇몸상태가 이전과 비교하여 나빠지지는 않았는지, 치석이 생겼다면 스케일링을 받으며 더 나빠지지 않도록 유지할 수밖에 없습니다. 따라서 잇몸병은 미리 예방을 하는 게 가장 좋습니다.
잇몸병 예방은 어떻게 해야 하는 걸까요?
잇몸병이 생기는 가장 흔한 이유는 한번 언급했다시피 구강위생불량입니다.
플라그에 의해 잇몸이 붓게 되고, 남아있는 플라그가 치석을 형성하게 하는 중요한 요인이 되기 때문에 양치질할 때 남아있는 음식물 잔사가 없도록 더 신경 써서 하셔야 합니다. 또한 치아 사이사이는 칫솔로 절대절대 닦이지 않습니다.
집에 있는 소파가 벽에 붙어있다고 가정해 볼게요. 아무리 주변을 청소기로 열심히 먼지를 치우고 걸레로 닦아도 소파와 벽이 붙어있는 부분은 청소가 잘 안 되겠죠? 치아도 마찬가지입니다. 치아와 치아 사이로 칫솔모가 들어갈 수 없기 때문에 당연히 닦일 수 없어요. 하지만 구석에 먼지가 쌓이는 것처럼 치아와 치아 사이도 음식물 잔사가 남을 수밖에 없습니다.
이런 부분은 치아 사이가 좁은 젊은 분들이라면 치실을 사용하시는 게 좋고, 치아와 치아 사이에 공간이 넓은 분들은 치간칫솔을 사용해서 닦아주시는 것이 좋습니다. 식사 후 매번 해주시는 것이 좋지만, 너무 귀찮으시다면 취침 전 하루 한 번이라도 관리를 해주시는걸 적극 권유드립니다!
인사돌이나 이가탄을 먹으면 잇몸이 건강해지나요?
정말 정말 많은 분들이 궁금해하시는 부분입니다! 티브이광고 또한 어렵지 않게 볼 수 있어요.
앞서 언급해 드린 약품은 잇몸건강보조제입니다. 다시 말하여지면 비타민 같은 영양제입니다.
우리가 종합비타민, 영양제, 오메가 3 등 다양한 영양제를 먹는다고 해서 감기에 안 걸리진 않잖아요?
잇몸병 또한 마친 가지입니다. 치과에 다니면서 잇몸치료를 하고 부가적으로 영양제를 드신다면 효과가 있을 수는 있지만 잇몸건강보조제를 먹는다고 해서 잇몸병에 안 걸리는 것은 아닙니다!
잇몸병은 어쩌면 충치보다 더 흔한 구강 내 질환입니다. 흔하기도 한만큼 예방법 또한 정말 쉽습니다.
처음에는 치실, 치간칫솔 사용하시는 게 많이 번거롭고 귀찮기도 하실 거예요, 하지만 습관이 되면 괜찮아질 거예요!
치아는 평생 가져가야 하잖아요?!
오늘 포스팅도 많은 도움이 되셨길 바라며 다음에도 좋은 정보로 만나요!!
'치과치료관련 꿀팁!' 카테고리의 다른 글
| 임플란트를 꼭 해야하는 이유! (0) | 2023.04.17 |
|---|---|
| 임플란트가 뭐에요? (0) | 2023.04.11 |
| 충치는 왜 생겨요? (0) | 2023.04.03 |
| 충치치료를 해야하는데 병원마다 말이 달라요! (0) | 2023.03.28 |
| 신경치료가 무엇인가요? (0) | 2023.03.28 |
댓글