안녕하세요! 오늘도 많이 궁금해하실 수 있는 치과 관련 정보를 가져왔습니다!!
오늘 포스팅 주제는 바로 충치입니다!
보통 치과 하면 충치라는 단어를 자동적으로 떠올리실 텐데요, 충치는 왜, 어떻게 생기는지 그리고 어떻게 치료해야 하는지 알아보도록 할게요. 또 충치는 아닌데 너무 시리고 불편한 증상을 호소하실 수 있는데 그 원인이 무엇인지도 함께 알아볼게요!

충치의 정식 명칭은 치아우식증입니다.
치아의 경조직 즉 치아를 둘러싸고있는 가장 단단한 법랑질 부위의 결손이 가장 대표적인 원인이라고 할 수 있어요.
치아우식증은 치아경조직의 일부를 파괴시키는 세균감염성질환입니다.
구강 내의 침이 치아표면을 적시면 침 성분인 당단백질이 샇여서 눈에 보이지 않는 얇은 막이 형성되는데 이것을 '획득법랑질피막'이라고 합니다. 너무 어려운 단어죠? 비유를 하자면 샤워실이나 세면대에서 물을 매일 쓰게 되면 눈에 보이지 않지만 바닥이나 세면대 표면이 어느 순간 미끌미끌해지는 느낌을 받으실 거예요. 그럼 아, 물때가 꼈구나라고 생각이 들죠? 그 물때가 바로 여기서 말하는 피막입니다. 이 획득피막은 세균 등의 세포가 포함되어 있지 않은 순수한 당단백질만의 피막입니다. 그런데 여기에 입안에 세균이 침입하고 증식하게 되면서 치면세균막, 우리가 익숙히 알고 있는 단어로는 플라그 라고 하는 게 생깁니다. 충치는 축적된 플라그의 세균들이 음식물의 당분을 분해하고 산(acid)을 생성하면서 치아의 무기질이 화학적으로 용해되는 현상이라고 할 수 있습니다. 이 플라그는 치아우식증뿐만이 아니라 잇몸병의 원인이 되기도 합니다.
이러한 과정을 거쳐서 생긴 충치는 진행속도가 느린 만성질환입니다. 하루아침에 신경까지 간다거나 통증을 유발하지 않고, 서서히 진행됩니다. 또 치료를 하지 않으면 치아전체적으로 생길 때까지 계속 진행됩니다. 그렇기 때문에 주기적인 정기검진이 꼭 필요하겠죠?
여기서 중요한 포인트!!
주로 치과정기검진을 6개월마다 한 번씩 권장하고 있습니다. 왜 6개월일까요?
어금니의 씹는면 초기우식증이 진행되어 구멍이 뚫리는 치아우식증으로 발전하기까지는 약 6개월의 시간이 소요됩니다!
그래서 평균적으로 6개월 주기로 검진을 하는 것이 좋아요
충치는 진행속도가 느리다고 설명드렸는데 예외인 겨우도 있습니다. 빠르게 여러 치아에 걸쳐 광범위하게 진행될 수 있는데 주로 어린아이들, 유치에서 많이 발생하게 되며 구강 위생이 좋지 않을 경우 생길 수 있습니다
우리가 갖고 있는 건전한 치아에 처음으로 시작된 우식증을 일차 우식증이라고 부릅니다.

사진에서 보시는 것처럼 치아의 씹는 면에 주로 많이 생기게 되고, 충치 범위에 따라서 레진 또는 인레이 더 나아가 필요하다면 크라운치료까지도 필요할 수 있습니다.
그렇다면 여기서 한 가지 궁금증이 또 생길 수 있어요. 치아에 충치가 생겨서 충치치료를 하면 다시는 충치가 안 생길까요?
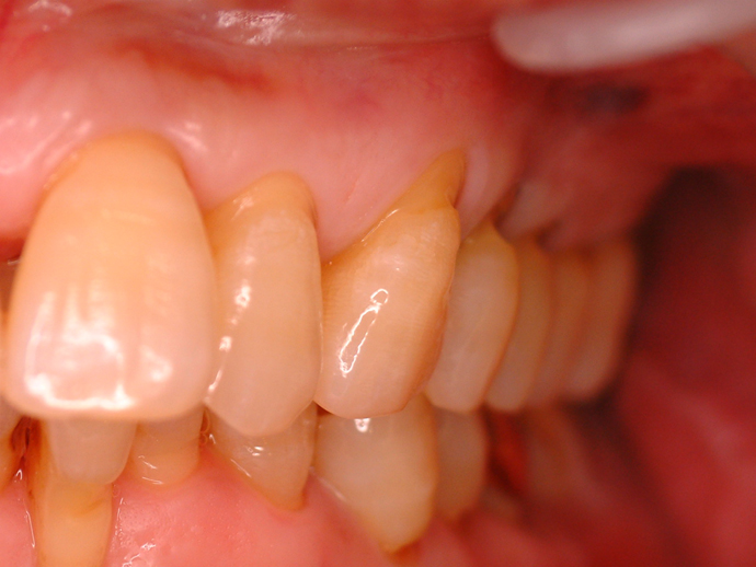
그렇지 않습니다! 수복물 하방으로 2차 충치가 생길 수 있어요

위에 사진과 같이 수복물 주변으로 충치가 시작되어 하방으로 진행되게 됩니다. 증상으로는 수복물 탈락, 치아 파절 등이 있습니다.
충치치료는 다른 포스팅에서 설명드렸듯이 충치범위에 따라 레진, 인레이, 신경치료, 크라운 등 알맞은 치료방법을 진단받고 치료하게 됩니다.
여기까지는 우리가 흔히 알고 있는 벌레 먹은 치아, 충치로 인한 치아 경조직의 손상을 알아보았는데요, 충치뿐만 아니라 다른 원인에 의해서도 경조직 손상이 발생할 수 있습니다.
첫 번째는 바로 외상에 의한 파절입니다.
교통사고, 운동, 폭행, 충돌 등으로 치아에 큰 충격이 가해지게 되면 파절이 일어나게 됩니다. 이런 경우 치아를 둘러싸고 있는 단단한 조직이 깨지게 되고 그 정도가 심하면 발치를 해야 하는 경우도 있습니다.
두 번째는 씹는 힘에 의해 마모되는 경우입니다.
치아와 치아가 서로 닿으면서 경조직이 닳는 현상을 교모증이라고 합니다. 교모증은 어금니의 씹는면이나 앞니의 절단면 부분에서 일어나게 되고 이갈이가 심한 분들의 치아에서 많이 볼 수 있습니다. 또 약물에 의해서도 나타나게 되고 나이가 들면서 자연적인 현상으로도 나타납니다.

치아 마모가 진행되면 치아 온도를 인식하는 상아질 부분이 노출되게 되면서 음식의 온도에 통증을 느낄 수 있습니다.
하지만 마모는 천천히 진행되기 때문에 증상이 없는 경우도 있습니다.
마모의 정도에 따라서 레진으로 때울 수도 있고 심한 경우는 신경치료를 동반해야 할 수도 있습니다.
세 번째는 마모증입니다.
마모는 자연치아와는 다른 이물질의 접촉에 의해 치아 경조직이 갈려나가는 현상입니다. 잘못된 칫솔질에 의한 경우가 가장 흔하고, 교합력에 의해서도 발생할 수 있습니다. 치아와 잇몸 경계부에서 흔하게 볼 수 있습니다.

마모증 역시 온도에 민감할 수 있고 심한 경우 신경이 노출될 수 있습니다. 온도에 민감할 경우 지각과민처치제를 바르고 지켜볼 수도 있고, 레진으로 마모된 부분을 때우는 치료를 가장 흔하게 합니다. 하지만 많은 분들이 레진으로 때우고 나서 금방 떨어졌어요라고 하시는데요, 씹는 힘에 의해 마모가 진행된 경우에는 내 치아가 닳고 깨져나간 만큼 레진 또한 씹는 힘에 의해 탈락 가능성이 있습니다. 하지만 남아있는 치아를 보호하기 위해 때우는 치료를 권유드립니다.
마지막으로 산성의 음식이나 음료를 자주 섭취할 경우, 또는 잦은 구토에 의한 위산 등에 의해 치아 표면이 화학적으로 용해될 수 있는데요, 이 경우를 침식증이라고 합니다. 침식증 또한 치아 교모증과 증상과 치료법이 동일합니다.
이렇게 오늘은 충치가 왜 생기는지, 그리고 충치는 아닌데 왜 치아에 시린 증상이 생기는지에 대해 알아보았습니다!
많은 도움이 되셨길 바라며 다음에도 좋은 정보로 포스팅할게요!
'치과치료관련 꿀팁!' 카테고리의 다른 글
| 임플란트가 뭐에요? (0) | 2023.04.11 |
|---|---|
| 잇몸치료가 뭐에요? (0) | 2023.04.04 |
| 충치치료를 해야하는데 병원마다 말이 달라요! (0) | 2023.03.28 |
| 신경치료가 무엇인가요? (0) | 2023.03.28 |
| 치과에도 전문의가 있나요?-2 (0) | 2023.03.23 |
댓글